Tales of Wonder and Woe: UWOL X - Page 2 at DVinfo.net
DV Info Net

Go Back   DV Info Net > The DV Info Network > The UWOL Challenge

The UWOL Challenge
An organized competition for Under Water, Over Land videographers!

Reply
 
Thread Tools Search this Thread
Old August 8th, 2008, 10:37 AM   #16
Wrangler
 
Join Date: Jan 2005
Location: Boulder, CO
Posts: 3,015
The successes will be hard in this one. That's a given. But the rewards will be huge for those who can see it through, I guarantee it. And for the rest of us, who get to see what the finishers have contributed to making their little corner of the planet a better place.

Good luck!
Meryem Ersoz is offline   Reply With Quote
Old August 8th, 2008, 04:51 PM   #17
Regular Crew
 
Join Date: Aug 2007
Location: Truro, Cornwall, UK
Posts: 51
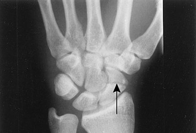
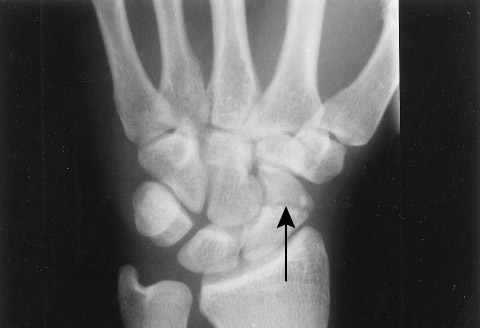
Uh oh!

Might have pushed things a bit far this time....

A word of warning to all fellow UWOLers. If you take to many liberties with gravity, it will turn around and bite you in the ass.

Still gonna try to get an entry in but have to wait for the cast to come of Mr Joslins hand before we can film anything. Bring on the last minute mad dash!
Attached Thumbnails
Tales of Wonder and Woe: UWOL X-imgp0001.jpg   Tales of Wonder and Woe: UWOL X-scaphoid.jpg  

Peter Damerell is offline   Reply With Quote
Old August 11th, 2008, 09:17 AM   #18
Major Player
 
Join Date: May 2007
Location: Vastervik ,Sweden
Posts: 639
Hello Friends…

I got in touch with WWF local office here in Sweden today and it looks like they are interested in a PSA. I basically got free hands in producing what I want (I kind of know what they want, I’ll been working in the same direction myself the last 4 years).

Our arrangement is something like this… If I produce something good, they broadcast it, if I do something “crappie” they don’t. So it’s up to me if I can finish this round or not… I got one idea, hope that they like it.

Cheers for now
Markus
Markus Nord is offline   Reply With Quote
Old August 13th, 2008, 01:01 AM   #19
Inner Circle
 
Join Date: Jun 2003
Location: Bergen, Norway
Posts: 3,377
Good to hear at least some of you do well with this challenge of challenges.
I am struggling! Still no response from the organizations I emailed.
Twisting my brain trying to figure out how to make a commercial too.
Still many days to go, but dark clouds are hanging over me at the moment.

Good luck to all of you!
Trond Saetre is offline   Reply With Quote
Old August 14th, 2008, 05:31 AM   #20
Major Player
 
Join Date: Jun 2007
Location: Johanesburg South Africa
Posts: 217
Who would have thought that offering your services for free would be met with such ..um suspicion....This is becomming more difficult as the days go by..Have not even started filming yet. Im sure everyone else is having the same problem,cause not much been happening here
John Dennis Robertson is offline   Reply With Quote
Old August 14th, 2008, 09:18 AM   #21
Trustee
 
Join Date: Nov 2006
Location: Larsnes, Norway
Posts: 1,343
Then I'm back from my holiday, way up North in Lofoten.
Before I went up North I sent an email to one organisastion.
In advance I made a list of some org I knew of, but desided to send only to one at the time.
Last week I got a call on my cell phone and it was from my number one choice :)
AND it was from the General Secretary (head boss) of the org.
A little bit curious and he couldn't believe that someone would make a PSA for free :)
To make a long story short, we now have a deal and I'm gonna meet'em tomorrow at Runde island. I did some shooting in Lofoten, but have to do some more shooting this weekend and next week. Then it's the editing part. Just hope I'll manage to finish within the limit/deadline.
I will make two films for them, one 30 sek for television and the other 60 sek for their web page and for use at conferences. I'm not sure wich one to put into the challenge though?

To those of you who think this is a too big task.... Forget it!
You can do whatever you decide to do. To little time I can understand, but if you tell me it's because of your skills? I don't believe it. I've seen your films and they are pretty good :)

Remember it's not the "size" of the organisation, but rather the quality of your PSA that counts.

Wish all of you best of luck.
Geir Inge
__________________
Geir Inge B. Brekke
Visit me at: https://vimeo.com/gibbfilm
Geir Inge is offline   Reply With Quote
Old August 14th, 2008, 12:32 PM   #22
Wrangler
 
Join Date: Jan 2005
Location: Boulder, CO
Posts: 3,015
It wouldn't be UWOL X if it wasn't hard, keep at it, my friends! You can all hate me now, if you need to, but whoever finishes this is going to score huge karma points. When we are all together watching whatever few entries get completed, it will be a wondrous thing, to see what UWOLers are giving back to our beautiful planet.

If you save just one raptor or just one tree with your video camera, you'll be my hero for life!

You have to admit, the ones that make it are going to be cool to watch!
Meryem Ersoz is offline   Reply With Quote
Old August 15th, 2008, 02:09 PM   #23
Major Player
 
Join Date: May 2007
Location: Vastervik ,Sweden
Posts: 639
Hello friends…

I hade a busy day today... first I hade to sort out some indoor desk business (Book keeping, not the most fun thing in life) But I decided to give myself a treat if I got everything ready till lunch, I did finish to lunch so I packed my camera and took of to pick up my dive gear… after some modification (tried out my new tripod to my UW housing) of the camera housing I packed the car and drove a few minutes to my boat and loaded it up. My town is located at the seaside so it’s not that far before you are out in the archipelago. Five minutes by boat and I arrived at my first dive location. I put my gear on and to of, at this time its 17 degrees in the water so you don’t need any groves or hood on… nearly like tropical diving.
This was a treat! Oh my… A lovely dive with some really lovely views.
I Think I did get the shots that I needed… especially after my second dive. On Monday I meet up with a friend that produce music for me during my “big” productions and he will help me fix some nice sounds to this production.
Tomorrow I head of to meet my old class in media production for a reunion party… se if I got my head together on Monday :)


Cheers from Sweden

Markus
Markus Nord is offline   Reply With Quote
Old August 16th, 2008, 05:22 AM   #24
Trustee
 
Join Date: Feb 2006
Location: Cedar Rapids, Iowa
Posts: 1,544
It's 6:15 AM here in good old Iowa. Meeting with Emy from Prairiewoods this morning to talk about their PSA.
Hadn't hear back from them for a while so after their initial "YES" I figured they might not be interested any longer.

But, an email from Emy explained that their email had been out for a week and that they were very excited to work with me.

I had pitched a couple ideas. One, very simple, three shot PSA. The other pretty complex for anything I've ever done before. I also sent them two other ideas and explained we could do any of those or something totally different depending on their needs.

They've liked all the concepts so far and I can already tell they will be a group I will work with long after UWOL X is over.

Hopefully I can get one PSA done by the deadline. If not, it won;t be the end of the world. Just means that I'm to busy trying to save it with Prairiewoods and want to make sure the message is as good as it can be.
__________________
--==Kevin==--
http:naturephotostudios.com.com
Kevin Railsback is offline   Reply With Quote
Old August 16th, 2008, 11:10 AM   #25
Trustee
 
Join Date: Feb 2006
Location: Cedar Rapids, Iowa
Posts: 1,544
The meeting went well. They are very excited to work with me. I dropped off a couple DVD's with my past UWOL films as well as some other projects I've done.

The nice thing about networking is that there was a guy who runs a PR firm that was also at the meeting. He's also a writer. So, we had an opportunity to talk and it looks like we may be working on some projects together in the future.

These are a great bunch of people and they are so happy to have any kind of help to get their message out. I see myself working with them far into the future.

I'm normally not a people person. Heck, I won't even go back to the drive thru if they screw up my order. But when you offer help to people they are so happy to have any kind of help, you walk away feeling so glad that you took the chance and the time to talk with them.

The folks at Prairiewoods keep asking me, what can they do, how can they help. Let us know what you need.
Great people. Glad I met them.
__________________
--==Kevin==--
http:naturephotostudios.com.com
Kevin Railsback is offline   Reply With Quote
Old August 17th, 2008, 02:29 PM   #26
Trustee
 
Join Date: Nov 2006
Location: Larsnes, Norway
Posts: 1,343
I've been at Runde today and shot some scenes.
Beautiful weather, but not so many birds left on the island.
Many Northern Gannets (with chicks) they don't leave until sept/oct, some Great Skua (ready for "take off") and even I did manage to capture 3 Puffins. The last one I think was pure luck as the Puffins "left the building" almost one month ago.

I'm not sure how to use these clips though.
It's not so easy to make a PSA as I thought :/
You have to make a message and then think of how the receiver will respond to it, or how you want the message to affect the receiver. Then you have your customer you're making the PSA for. It's not always they know what they want. Sometimes they want to put "everything" in a 30 sek or 1 min film :/ So then it's on to explain how things works in this media called film/video. Well, it's a little bit different then making a 3 min film out of your own heart, so to speak.
You can see some white spots on one of the Gannets photo, it's pollen (I'm not sure if thats the right english word though?) It was quite a lot of it and did disturb my filming from time to time. Also at the place I filmed the Skua, there where a lot of insects. Well, thats nature folks :) Hope you're all doing well making your PSA.

I have made some snapshots from my shooting today.
2 of the Great Skua and 2 of the Gannets.
The Great Skua almost look like a bird of pray, don't you think?
Attached Thumbnails
Tales of Wonder and Woe: UWOL X-storjo-3.jpg   Tales of Wonder and Woe: UWOL X-storjo-4.jpg  

Tales of Wonder and Woe: UWOL X-havsule-3.jpg   Tales of Wonder and Woe: UWOL X-havsule-5.jpg  

__________________
Geir Inge B. Brekke
Visit me at: https://vimeo.com/gibbfilm
Geir Inge is offline   Reply With Quote
Old August 17th, 2008, 03:17 PM   #27
Major Player
 
Join Date: Jul 2008
Location: Maryland, USA
Posts: 220
Geir, looks like some good stuff.

Reminds me of some of the scenes in "Winged Migration." You've seen it I'm guessing.

My group postponed a trip so another person from their group could attend, so I went and did some shooting yesterday at a place called "Little Sahara." Sand dunes in the central part of Utah, a rather diverse state over here in the USA.

I'd love to post some stills but I have to admit I don't know how to. :-| (A little help..?)
Ryan Farnes is offline   Reply With Quote
Old August 18th, 2008, 12:37 AM   #28
Major Player
 
Join Date: Jul 2008
Location: Maryland, USA
Posts: 220
Hmm...can't figure out how to attach images for the life of me.
Ryan Farnes is offline   Reply With Quote
Old August 18th, 2008, 02:08 AM   #29
Major Player
 
Join Date: May 2007
Location: Johannesburg South Africa
Posts: 768
Hi Ryan
Open "Post reply"
Scroll down to "Additional Options" and click on "Manage Attachments" button then insert the file/s you want.
Make sure its a .jpg or the thumbnail wont appear in the thread - it will have to be opened by the viewer.


Oh my word - All I can say Meryem is:

This is no curved ball - it is a downright yorker!

Trying to get all my ducks (and geese and other things) in a row is probably better than going out for a duck but oi - a learning curve round every corner!!!
Marj Atkins is offline   Reply With Quote
Old August 18th, 2008, 02:30 AM   #30
Major Player
 
Join Date: Jun 2007
Location: Johanesburg South Africa
Posts: 217
Just got to work this fine monday morning...and lo and behold I have recieved permission from my chosen organisation.Now that the hard part is over...I am ready to dive in and do what I enjoy (the filming,editing part) Having an 8 till 6 day job means having a long time to wait before I can get out and film,still pretty confident that Im not shark bait yet.
John Dennis Robertson is offline   Reply
Reply

DV Info Net refers all where-to-buy and where-to-rent questions exclusively to these trusted full line dealers and rental houses...

B&H Photo Video
(866) 521-7381
New York, NY USA

Scan Computers Int. Ltd.
+44 0871-472-4747
Bolton, Lancashire UK


DV Info Net also encourages you to support local businesses and buy from an authorized dealer in your neighborhood.
  You are here: DV Info Net > The DV Info Network > The UWOL Challenge

Thread Tools Search this Thread
Search this Thread:

Advanced Search

 



All times are GMT -6. The time now is 01:29 PM.


DV Info Net -- Real Names, Real People, Real Info!
1998-2026 The Digital Video Information Network